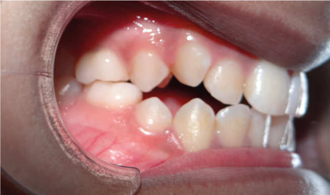
La classe III c’est quand la mâchoire ou les dents du bas sont en avant des dents du haut. Étant enfant, l’individu perd alors l’habitude d’avancer sa mâchoire du bas et la fait grandir inconsciemment. À la puberté, la mâchoire du haut s’arrête ce qui aggrave le décalage et oblige à opérer la mâchoire si cela n’a pas été corrigé au plus tôt.
Le manque de développement du maxillaire génère un hyper développement mandibulaire. Cette insuffisance de croissance est tout à fait rattrapable et majorable et d’autant plus que l’enfant est jeune en profitant de la croissance à venir. À la puberté, la croissance de la mâchoire du haut s’arrête ce qui aggrave le décalage et oblige à opérer la mâchoire si cela n’a pas été corrigé au plus tôt.


